952-941-1911

Call Today For Your Next Appointment

952-941-1911

Call Today For Your Next Appointment

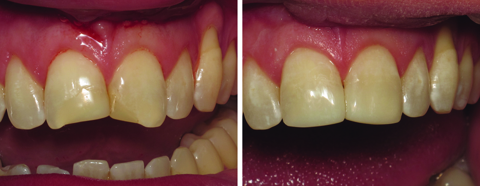
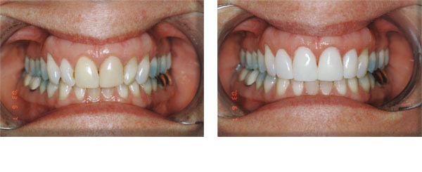
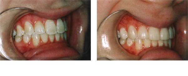
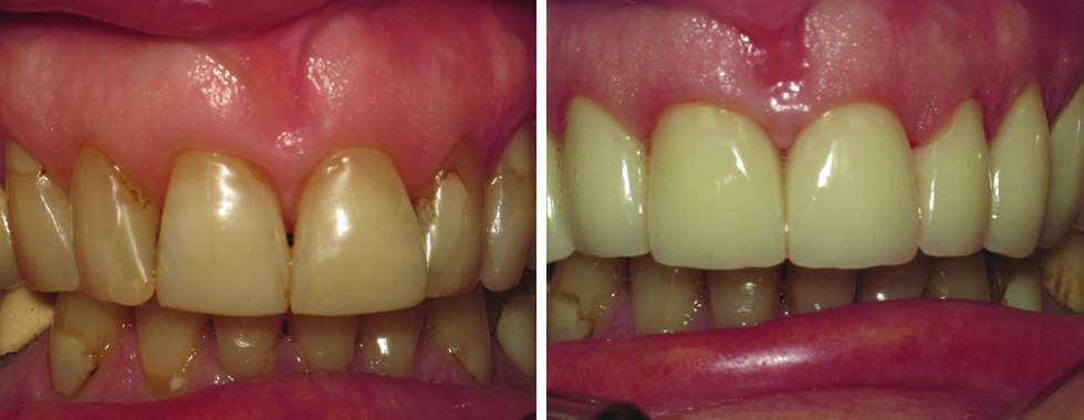
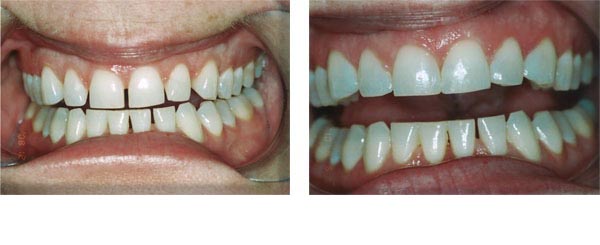
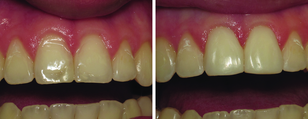
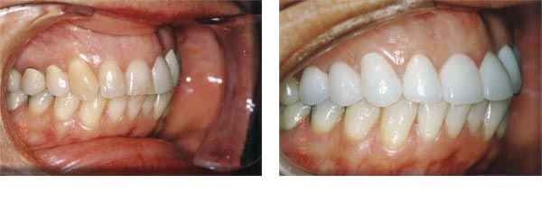
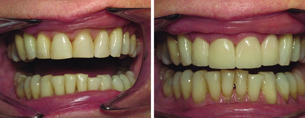
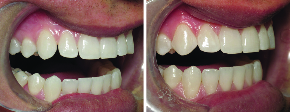
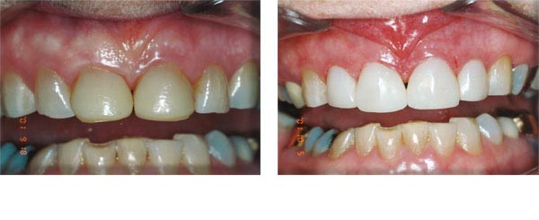
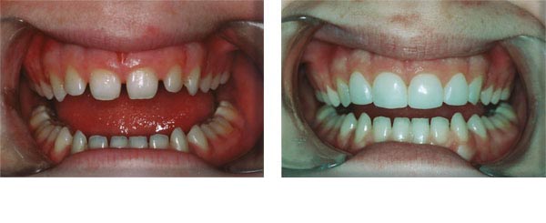
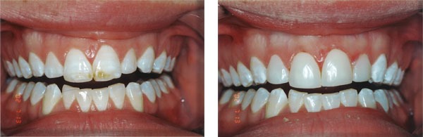
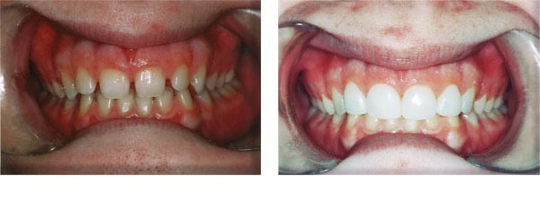
Smile Make-Over

senior-woman-posing-smiling-against-blue-background

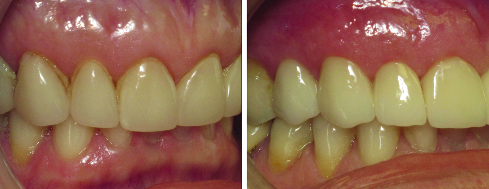
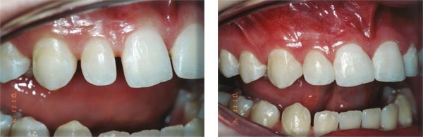
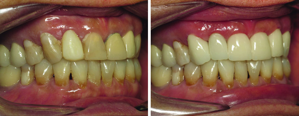
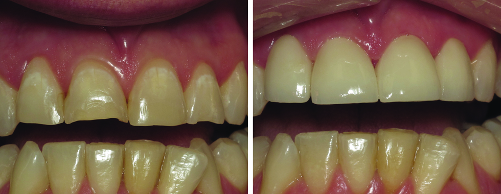
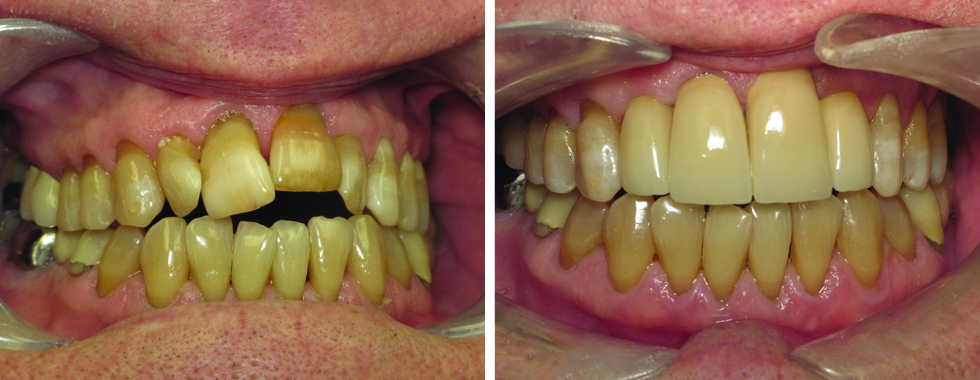
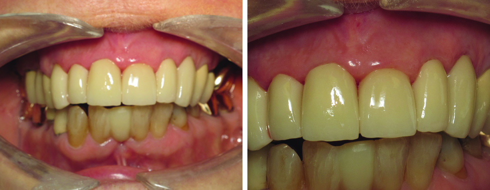
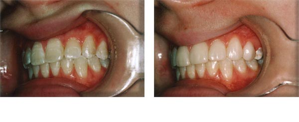
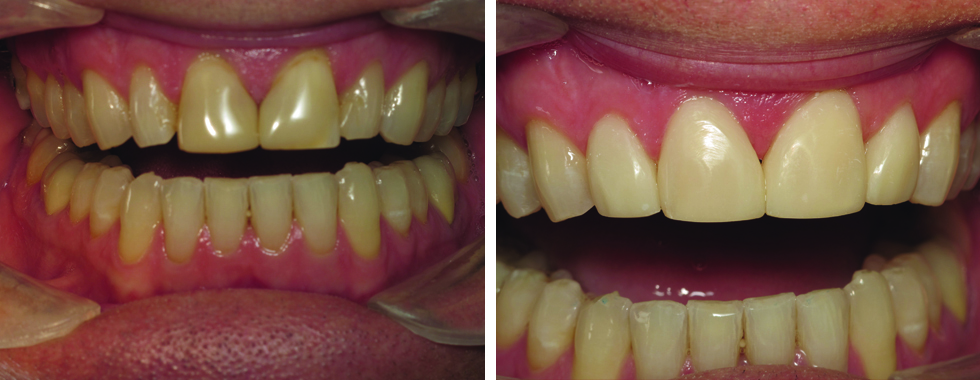
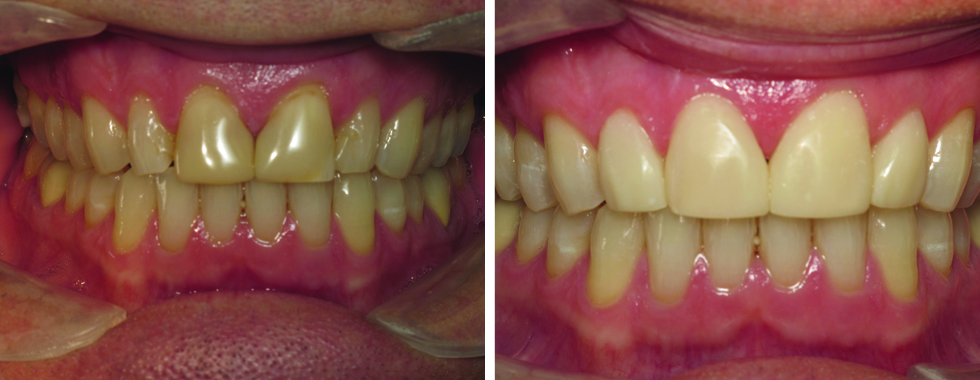
Crowns

confident-man-standing-smiling

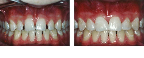
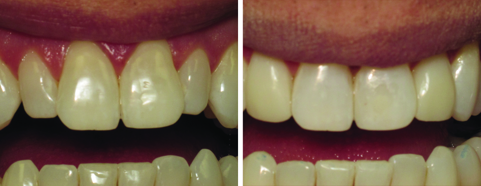
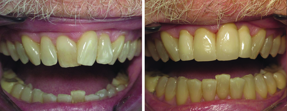
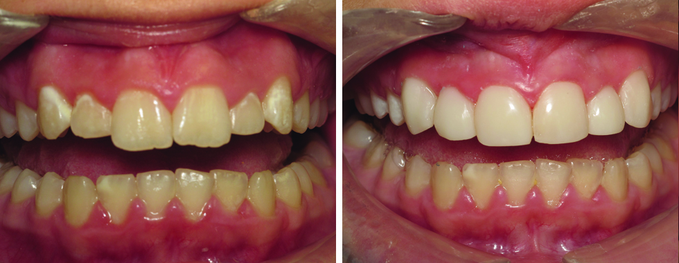
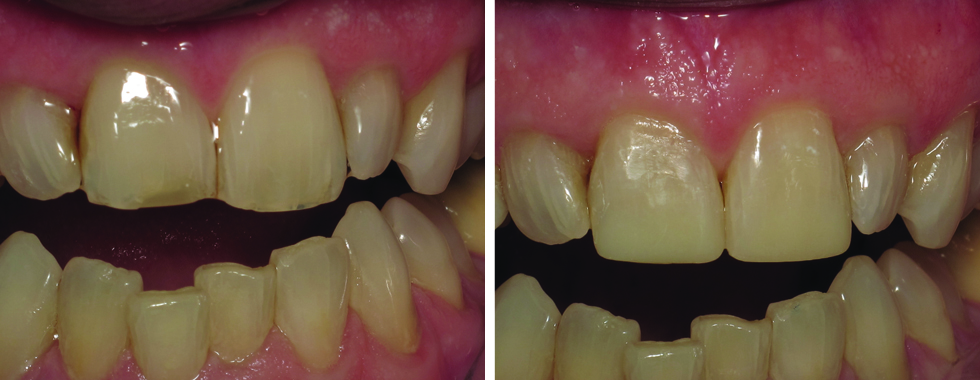
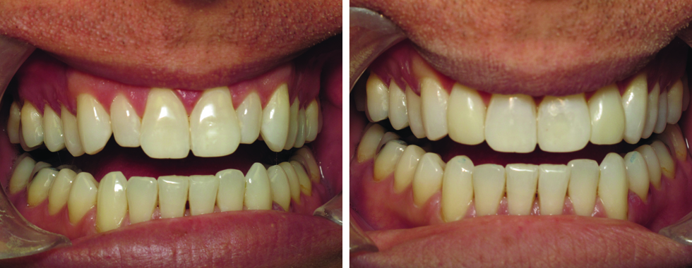
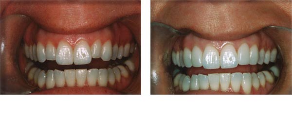
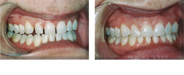
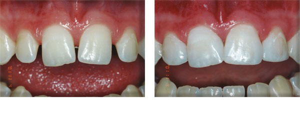
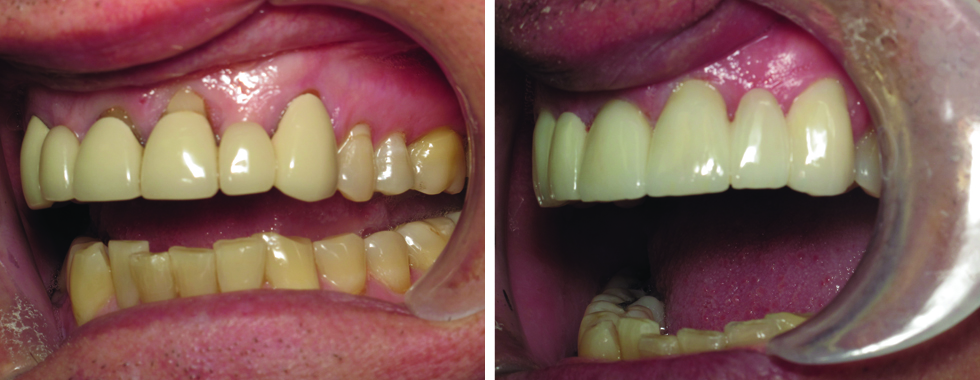
Composite Mini Make-overs